
TREŠNJINA DRHTALICA
Ditangium cerasi (Schumach.) Costantin & L.M.Dufour
Sinonimi:
Taksonomija:
Carstvo: Fungi >
Koljeno: Basidiomycota >
Razred: Agaricomycetes >
Red: Sebacinales >
Porodica: Sebacinaceae >
Rod: Ditangium >
Vrsta: Ditangium cerasi (Schumach.) Costantin & L.M.Dufour (GBIF ID 3353337)
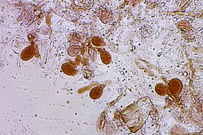
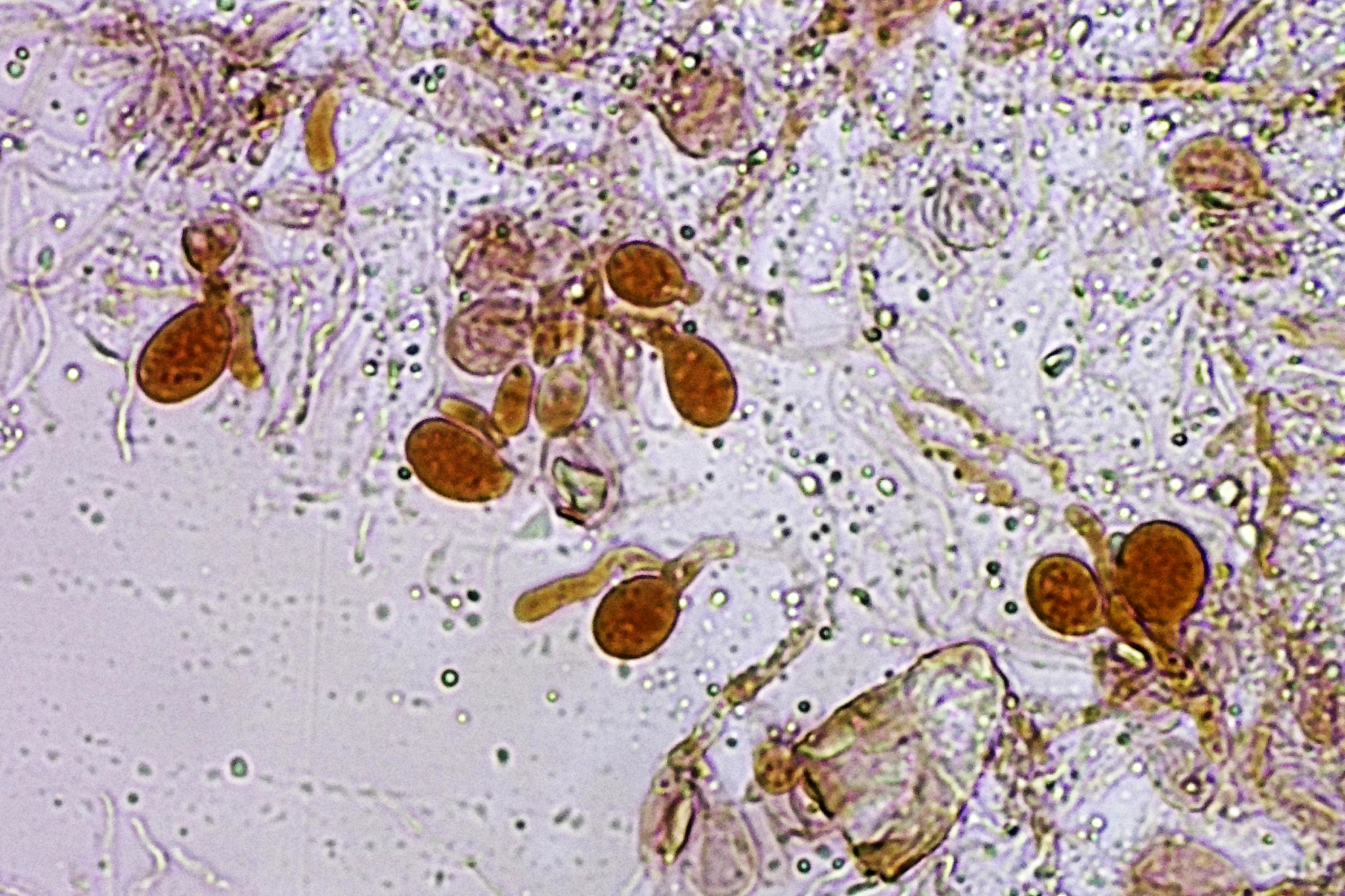
Etimologija: cerasus (lat.) = trešnja. Po domaćinu na kojem raste. Engleski naziv: Ochre Cushion Plodno tijelo: 0.5-2 cm široko i 3-8 mm debelo, anamorfni je stadij u obliku čašice, kasnije je ispresavijano je poput površine mozga, isprva je bezbojno, zatim je ružičasto, narančasto-smeđe do crvenkasto-smeđe, u starosti ponekad izblijedi do gotovo bijele boje. Spore: Valjkaste, blago do izrazito zakrivljene, 7-11 x 2.5-4.5 μm, Q = 2-4.1, Qav = 2.4-3.3, bazidije su kuglaste do jajolike, 4-sporne, 7.8-12.8 × 6.1-10 μm, konidije su tankih stijenki, valjkaste, blago do umjereno zakrivljene, 4.8-9.4 x 1.6-2.8 μm, Q = 2.9–3.6, hife su isprepletene ili uzdignute, obilno prekrivene ljepljivom tvari, tramalne hife su široke 1.5-4 μm, ponekad su napuhane do 5 μm, subhimenijalne hife su široke 1-3 μm, hifide su obilne, prekrivaju himenijalnu površinu, slabo su ili izraženo razgranate, vršne grane su široke 1-2 μm, hife su bez kopči (cromushrooms: spore su (7) 7.1 - 8.5 (9.5) × (2.6) 2.9 - 3.5 (4.3) µm, Q = (2.2) 2.22 - 2.4 (2.7), N = 6, Me = 7.8 × 3.3 µm, Qe = 2.4, bazidije su 7.7-12.6 × 6.1-8.9 µm, N = 36, konidije su (4.8) 5.4 - 7.2 (9.8) × (1) 1.2 - 1.6 (2) µm, Q = (3.5) 3.51 - 5.1 (6.5), N = 60, Me = 6.2 × 1.5 µm, Qe = 4.3, tramalne su hife široke 1.7-2.7); otrusina je bjelkasta, prozirna. Meso: Tanko, želatinozno, krem do ružičasto; miris nije izražen, a okus je blag. Stanište: Raste u jesen, zimu i proljeće, kao saprofit krupnijih drvnih ostataka (grane, trupci) divlje trešnje (Prunus avium), rjeđe na drugom bjelogoričnog drveću. Slike su snimili Helena Petrić i Slobodan Bjelajac, 1.2.2026., na lokalitetu Park prirode Medvednica kod Zagreba, na trupcu divlje trešnje. Doba rasta: 1, 2, 3, 4, 10, 11, 12 Status jestivosti: NEJESTIVA - Nema vrijednosti. Napomena: Slična Ditangium incarnatum raste na bjelogoričnom drveću iz porodice Salicaceae (vrbe, topole), ima značajno manja plodna tijela (1-1.5 mm, rijetko budu spojena pa dosegnu 6 mm) i kraće spore, te odsustvo bespolnog stadija. Bespolni stadij je po boji i obliku sličan gljivama iz roda Ombrophila. Prozirna je bugarkinja (Neobulgaria pura) slična s oba stadija, ali je izdaje izrazitija ljubičasta boja. Bjelogorična drhtavica (Tremella frondosa) može u mladosti sličiti savršenom stadiju, ali je obično tamnije obojena. Općenito, ako se ne uoči bespolni stadij bez mikroskopiranja može doći do zamjene s vrstama iz rodova Exidia i Dacrymyces. Ako obratimo pažnju na domaćina, gotovo uvijek trešnju, te prisutna oba stadija, ipak nije tako teško determinirati ovu rijetku gljivu.
DNA sekvenca:
Skeniraj QR kod za brzi pristup ovoj vrsti na svom mobitelu.

Prirodoslovni muzej - Split